Rellena el formulario y te llamamos hoy mismo
para confirmar tu hora, en el horario de nuestra clínica.
Sin compromiso · Datos confidenciales
No te vamos a mentir. Vamos a hacer tu diagnóstico para decirte exactamente
qué necesitas, cuánto cuesta y cómo lo puedes pagar sin que te duela el bolsillo.
Si lo que te frena es ...
Lo abordamos desde el minuto uno. Te escuchamos, te explicamos qué haremos, y paramos cuando lo necesites. Vamos paso a paso, sin prisa.
Tu comodidad es la prioridad
Trabajamos a diario con pacientes con fobia al dentista. Sabemos cómo hacerlo bien y sin que sientas nada.
Si lo que te frena es ...
Aquí no hay sorpresas. Antes de tocar nada, recibes un presupuesto cerrado por escrito. Tú decides con calma y con toda la información.
Nadie te va a vender lo que no necesitas.
Y si lo necesitas, tienes financiación sin intereses con planes a tu medida y sin cuotas escondidas
★★★★★ 4.9/5 · +400 reseñas· Google
El equipo de Cesadent me ha atendido muy bien. En mi primera visita he tratado con Patricia y el ortodoncista Luis. Me explicaron las opciones de tratamiento con detalle, empatía y humanidad. Muy agradecida.
Me pusieron implantes dentales después de perder una pieza y el resultado ha sido excelente. Volví a comer con normalidad y estoy muy satisfecha con el trato profesional y cercano de todo el equipo.
He estado durante un año con el tratamiento para corrección dental de ortodoncia invisible SPARK y ha ido perfecto. La atención excelente y el equipo maravilloso.
Trato inmejorable, he acudido a ellos con dolor persistente después de extraer una muela del juicio con la seguridad social y me han atendido super rápido, con el tratamiento adecuado para solucionar mi dolor, y que cicatrice mejor la herida ,y resolviendo todas mis dudas . Plena confianza en ellos ,me voy muy contenta y aliviada. Gracias!!!
Diagnóstico completo. Radiografías. Presupuesto cerrado por escrito. Todo en una sola visita, sin vuelta atrás en el precio.
No adivinamos. Te exploramos a fondo para saber exactamente qué pasa y qué necesitas.
El precio que te damos en la primera visita es el precio final. Sin sorpresas cuando acabes tu tratamiento.
Te lo explicamos todo, sin letra pequeña. Si necesitas pensarlo, perfecto. Nadie va a presionarte.
Diagnóstico + Radiografías panorámicas + Presupuesto detallado
Recupera piezas perdidas con implantes de titanio. Resultado natural e idéntico a tu diente. Duración de por vida.
Desde 780 € · Financiación disponible
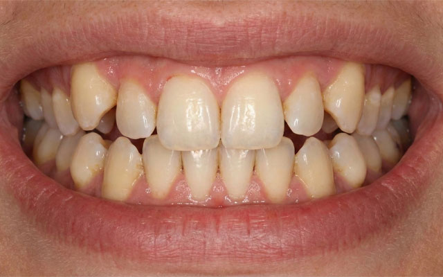
Alinea tus dientes sin que nadie lo note. Alineadores cómodos y extraíbles que se adaptan a tu vida.
Desde 1990 € · Cuotas desde 80 €/mes
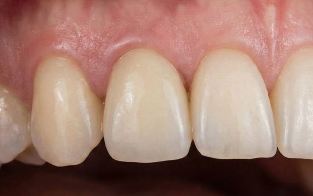
Diseño de sonrisa a medida. Recupera el blanco natural o transforma por completo cómo luce tu boca.
Blanqueamiento desde 120€
Carillas desde 390€
Limpieza profesional
Elimina el sarro y la placa que el cepillo no puede quitar. Resultados visibles desde la primera sesión.
Desde 70 € · Incluida en revisión anual
Dr. Yusef Rashid
Implantología y Cirugía Oral
Especialista en implantología avanzada y cirugía oral. Ha resuelto casos que otras clínicas consideraban complicados. Su prioridad: que no sientas nada durante el proceso.
Dr. José Manuel Cruz
Estética Dental y Endodoncia
Especialista en transformar sonrisas sin que parezcan artificiales. Experto en tratamientos conservadores que preservan el diente natural.
Dr. Luis Cuadra
Ortodoncista
Experto en alineadores invisibles y ortodoncia moderna. Hace que el proceso sea cómodo, eficaz y sin sorpresas desde el primer día hasta el último.


Blanqueamiento dental
Recupera el blanco natural de tus dientes


Implantes dentales
Recupera piezas perdidas de forma natural


Ortodoncia invisible
Sonrisa perfecta sin brackets visibles


Carillas de porcelana
Recupera piezas perdidas de forma natural
¿Voy a sentir dolor durante el tratamiento?
¿Cuánto cuesta la primera visita?
Normalmente cuesta 40€ e incluye exploración completa, radiografías panorámicas y presupuesto cerrado por escrito. No es una visita rápida: nos tomamos el tiempo necesario para decirte exactamente qué tiene tu boca y qué opciones tienes.
Si has llegado hasta aquí y pides tu cita desde esta página, la primera visita es gratis. Sin condiciones. Vengas o no a tratarte después, es tuya.
¿Me van a recomendar tratamientos que no necesito?
Nunca. Si solo necesitas una limpieza, te hacemos una limpieza. Si necesitas más, te lo explicamos con detalle y con transparencia. Tú decides con toda la información. Sin presión y sin que nadie te llame diez veces.
¿Tenéis financiación? ¿Cómo funciona?
¿Voy a estar esperando mucho tiempo?
¿Puedo ir a una cita sin saber lo que necesito?
Rellena el formulario y te llamamos hoy mismo
para confirmar tu hora, en el horario de nuestra clínica.
Sin compromiso · Datos confidenciales